Paul's Heart

Life As A Dad, And A Survivor

A Diagnosis Literally “Hard To Swallow”

I have more than a dozen different issues that I deal with, some more than others, related to cancer treatments more than thirty years ago, for Hodgkin’s Lymphoma.  Some of these issues, I only discover upon testing prescribed by my doctors.  Others are a bit more obvious.  One of these issues has an impact on quality of my life requiring me to manage anything that can aggravate the issue, to a minimum.

A little over twelve years ago, and this was a retrospective look back in time, I began to develop difficulty swallowing, dealing with a “choking” sensation.  As time went by, it did not matter what food, and eventually liquids, including water, could paralyze me where I stood or sat, waiting for my throat to open up, and let the substance pass.

I was not able to breath.  I was not able to call out for help.  Most around me had no idea what was happening to me because I had a habit of stepping aside from anyone, so I would not be subject to questions about what was happening, or was I alright.

I am notorious for waiting to seek medical help.  This situation was no different.  I had finally gotten to a point, with the water, I guess you could say “my water broke” me down.  I reached out to my doctors handling my long term issues, clearly believing this was going to be something related to my treatment past.

My first stop, was a specialist referred to as a Ear, Nose, and Throat specialist (ENT).  He performed a laryngoscopy, which simply was sending a tube with a camera up through my nose (of course I cracked the Vinny Barbarino line “up my nose with a rubber hose which the doctor was too young to catch the culture reference from “Welcome Back Kotter”).

It was a brief test, but did not produce any answers that the doctor could see.  Structurally, nothing was noticed as irregular.  I was referred to a speech pathologist which was odd, as I did not have any issue with talking.  As I met with the speech pathologist, she explained to me, that there was a possibility that cumulative and progressive radiation damage could have damaged the muscles in my throat, making it difficult for me to swallow.  Her approach was to have me to simple exercises including stretching my jaw and swallowing.  She would decide on the next step if necessary in a few weeks.

The time came, and I still had the swallowing problem, seemingly getting worse.  She prescribed a barium swallow study.  This involved swallowing substances, the only way to describe them, that resembled in texture, various items from cake to vegetables to meat to even water.

It was a painless, but odd test.  Everything was white and liquid in color.  The taste was not awful as many other contrasts I have had to take.  But what was odd, was the fact, that when it came to swallowing the liquid labelled “bread”, it felt like bread being swallowed.  Pudding, cake, jello, meat, everything felt like it was supposed to, regardless of how it looked.  As I swallowed, the tech would observe on a screen, where to solution was getting hung up, and why.

Clearly the muscles of my esophagus were not working properly, as most of the substances got “hung up.”  My choking sensation that I felt I was dealing with, was not in my head, but in my throat.  Beyond the scope of a speech pathologist, I was then sent to a gastroenterologist.  A procedure, called an endoscopy was ordered.  This would be the end-all/tell-all of what was going on.  Another tube, another camera, this time down my throat into my stomach.

The first thing noticed on the way down, was a pouch called a Zenker’s Diverticulum, named after German pathologist Friedrich Albert Von Zenker who discovered it in 1877.  If the diverticulum thing sounds familiar, yes, it is the same term used as diverticulitis normally dealt with, in regard to the intestines.  In my case, this thing is in my throat.  This condition definitely caused by a weakening of my esophagus due to radiation damage.  More on this later.

Once passed this, there were multiple polyps found, and removed for biopsy.  What people need to understand, polyps are a precursor to cancer.  In theory, removed the polyps, prevent the cancer.

Along with radiation damage, there was a lot of damage caused from acid reflux, which clearly I suffered from, just did not acknowledge it.  This reflux also irritated my esophageal tract and also caused an issue with the diverticulum.  I will get to that.

I was also diagnosed with a hiatal hernia (basically, my stomach was squeezing into my chest cavity passed my diaphragm).  Another major concern, I was diagnosed with Barret’s Esophagus, a pre-cancer of the esophagus.  Great, another thing that has to be watched for to turn into something worse.  And the final diagnosis of this system, as if there were not enough, esophagitis, an inflammation of the esophagus.  All of these things were combining to cause my swallowing/choking issues.

Besides damage caused by my radiation therapy, and the reflux, my diet (spicy or acidic foods especially), and stress (I was under tons of stress at that time) were big factors as well.

Relief, temporary came via the scope while they were down there, the doctor stretched my esophagus.  But then I was recommended to change my diet to less spicy and acidic foods, elevate the head of my bed, so that gravity would not cause the acid to back up from my stomach into my throat as I slept, take a medicine called a PPI (to help reduce the acid in my stomach), and of course, reduce my stress.

The scope, a one time thing while they were down there, and every subsequent time I had this done (currently every two years), cut out my spicy foods except to rare occasions which I definitely pay for if I eat them, and no longer eat red sauce on pasta or drink orange juice.  I have done what I can about the stress, but there are just some things beyond my control, but still have an impact on me, flaring the stress up.  Finally, the medicine I take, is not mean to be permanent, nor is the amount I need a good amount long term.  But it is all that works, and likely to be permanent as I have been on it every since.

This is how I manage my swallowing/choking issue.  There is one thing that I cannot manage, and it is the most dangerous of these conditions, because there is nothing I can do to prevent it, other than what I am doing right now, following the guidelines on anything else.

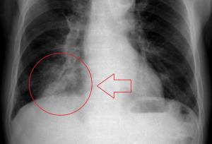
Approximately at 4am, on March 26th, 2012, for the 3rd time in my life, I faced a life and death situation, this time, being taken out of my house on a stretcher.  I was diagnosed with pneumonia, and I was septic.  Confused, because I did not even have a cold at the time, it was explained to me that I was suffering “aspiration pneumonia.”

Getting back to the Zenker’s Diverticulum.  My swallowing/choking was not the worst situation I was dealing with.  That diverticulum is a pouch, and a pouch holds stuff.  In the throat, it can hold food, or, it can hold acid, as from reflux.  And with the food and air sharing the same entry point, air inhaled, carries the bacteria from the diverticulum, into the lung.  Complicate that with the lower left lobe of my lung “dead” from radiation damage, the fact that this pneumonia was in that particular part of my lung, I was going to die, perhaps within hours.  Blood levels show that I was septic for at least 48 hours.  I have done a separate post on this incident.

I recovered only to suffer another case of aspiration pneumonia in December later that year.  Like I said, this is a dangerous condition for me, because I cannot feel it until it is too late.  Even following all the mitigation efforts, I still cannot control the reflux 100% of the time, I cannot reduce the stress to zero although I have greatly reduced the stress.  But several times a year, I am wakened in the middle of the night, with a wave of reflux that has the potential to get stuck in that diverticulum.

When this happens, I try to turn up my awareness to be prepared for another pneumonia and to do all I can to prevent it.  I have managed to keep the swallowing issue to a minimum otherwise, and I will take it.

 

 

 

 

Single Post Navigation

Leave a comment